
Simplicity at its finest
Full-featured panoramic imaging unit designed with simplicity in mind and featuring several cutting-edge innovations – combining extensive diagnostic capabilities and superior image quality into a compact, easy-to-use package.
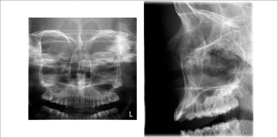
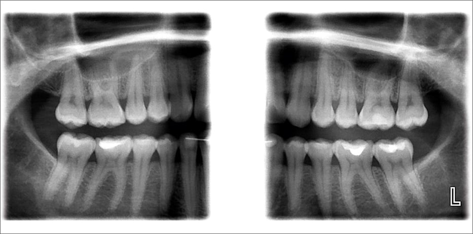
Exceptional image quality for accurate diagnostics and comprehensive treatment planning
To minimise imaging errors caused by incorrect patient positioning, Planmeca ProOne and all our other X-ray units support open positioning and convenient side entry for patients – both standing and seated.
You can monitor your patient from the front and the side, with positioning further assisted by our triple laser beam system that indicates the correct anatomical positioning points.
Planmeca ProOne is equipped with a full-colour graphical user interface that helps guide you through procedures with clear texts and symbols.
All settings are logically organised and easy to understand, which speeds up the imaging process and lets you focus on communicating with your patient and positioning them correctly.
Our unique Autofocus feature automatically positions the focal layer using a low dose scout image of your patient's central incisors.
Landmarks in the patient's anatomy are used to calculate placement, enabling practically error-free patient positioning and dramatically reducing the need for retakes. The result is a perfect panoramic image, every time.
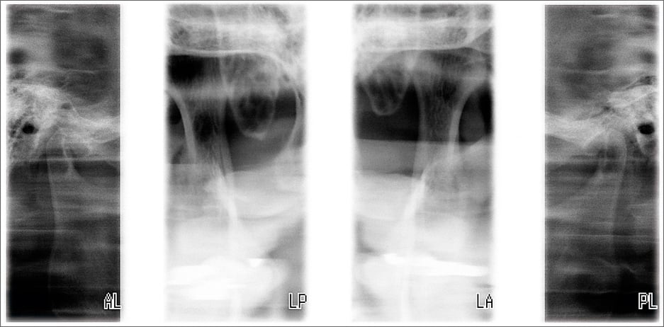
| Imaging Programs | Panoramic, Bitewing, TMJ, Sinus, Segmented |
| Patient Positioning | Open positioning, Standing/Seated, Triple laser beam system |
| Autofocus Technology | Automatic focal layer positioning with scout image |
| User Interface | Full-colour graphical interface with clear guidance |
| Image Quality | Superior clinical image quality with high resolution |
| Design | Compact, easy-to-use package with cutting-edge innovations |
Automatic focal layer positioning for perfect panoramic images every time, reducing retakes significantly.
Open positioning with convenient side entry for both standing and seated patients with triple laser guidance.
Exceptional clinical image quality with high resolution for accurate diagnostics and treatment planning.
Full-colour graphical user interface with clear texts and symbols for streamlined workflow.
Versatile imaging programs including panoramic, bitewing, TMJ, sinus, and segmented views.
Space-efficient design combining extensive capabilities into a compact, easy-to-use package.
Contact us today to learn more about the Planmeca ProOne and how it can enhance your practice's imaging capabilities.